Sanakirja
Tekoälykääntäjä

Ääntäminen

  • ÄäntäminenSouthern England
  • RP:
    • IPA: /məˈlɛəɹi.əl/
  • GA:
    • IPA: /məˈlɛɹi.əl/
KieliKäännökset
italiamalarico
ranskapaludique, malarial, paludéen, impaludé

Määritelmät

Adjektiivi

  1. Of, relating to, or infected by malaria.

Substantiivi

  1. A person who has malaria.

Taivutusmuodot

Komparatiivimore malarial
Superlatiivimost malarial
Monikkomalarials

Luokat


Of, relating to, or infected by malaria.

Malaria parasite connecting to a red blood cell

Of, relating to, or infected by malaria.

The life cycle of malaria parasites: Sporozoites are introduced by a mosquito bite. When they reach the liver, they multiply into thousands of merozoites. The merozoites infect red blood cells and replicate, infecting more and more red blood cells. Some parasites form gametocytes, which are taken up by a mosquito, continuing the life cycle.

Of, relating to, or infected by malaria.

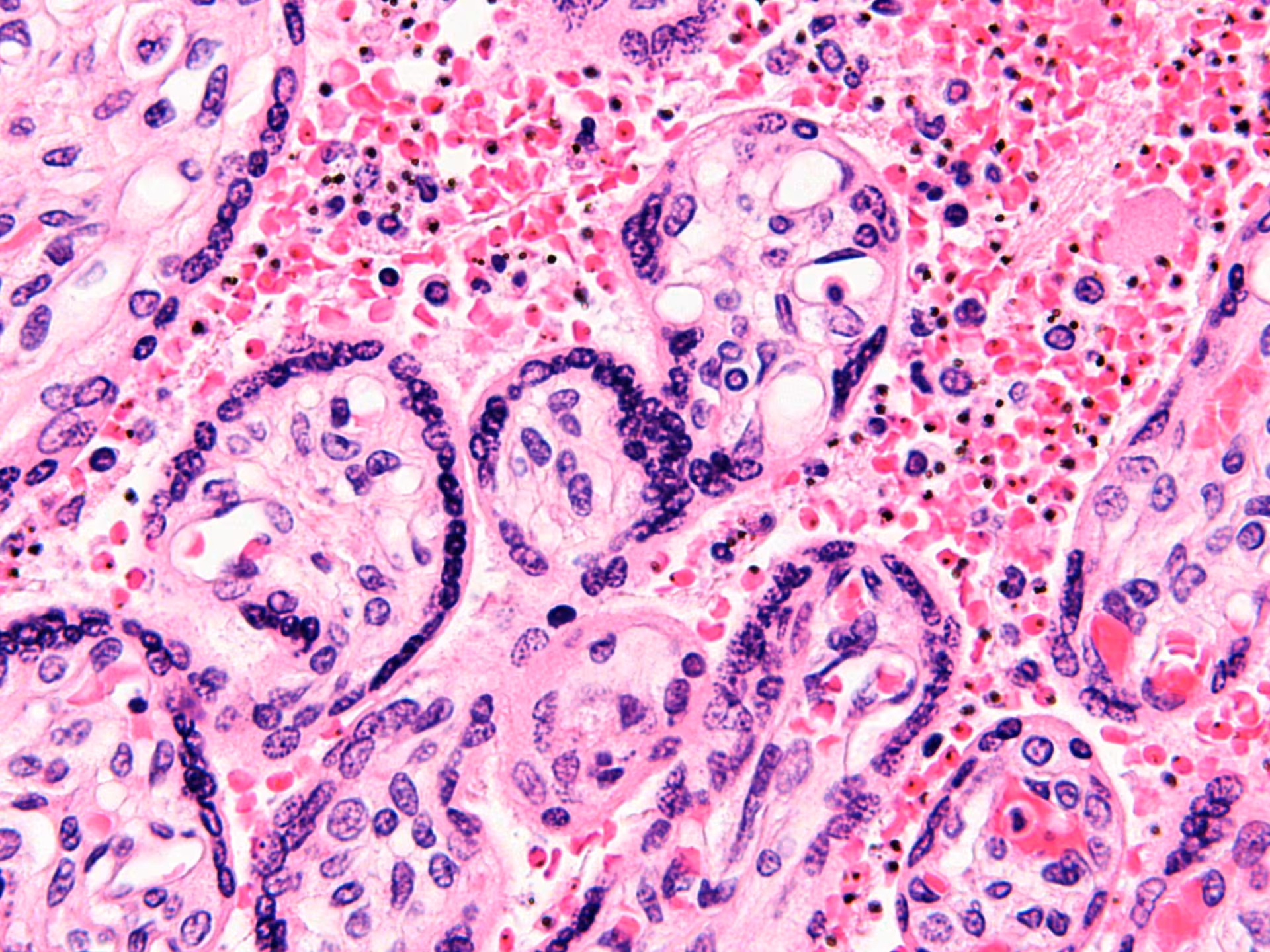
Micrograph of a placenta from a stillbirth due to maternal malaria. H&E stain. Red blood cells are anuclear; blue/black staining in bright red structures (red blood cells) indicate foreign nuclei from the parasites.