Sanakirja
Tekoälykääntäjä
Kuvat 4

Ääntäminen

  • UK:
    • IPA: /ˌkəʊ.lɪˈsteɪ.sɪs/
    • IPA: /ˌkəʊ.ləˈsteɪ.sɪs/
  • US:
    • IPA: /ˌkoʊ.ləˈsteɪ.sɪs/
  • CA:
    • IPA: /ˌkoʊ.ləˈsteɪ.sɪs/
  • AU:
    • IPA: /ˌkəʉ.ləˈstæɪ.sɪs/
KieliKäännökset
espanjacolestasis
italiacolestasi
tšekkicholestáza

Määritelmät

Substantiivi

  1. (pathology) The suppression of the flow of bile caused by an obstruction associated with the liver.

Taivutusmuodot

Monikkocholestases

(pathology) The suppression of the flow of bile caused by an obstruction associated with the liver.

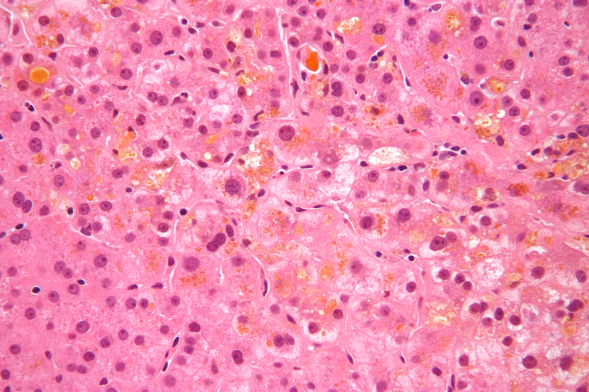
Micrograph showing bile (yellow) stasis in liver tissue, i.e. cholestasis. H&E stain.

(pathology) The suppression of the flow of bile caused by an obstruction associated with the liver.

Hepatocyte transporters implicated in drug-induced cholestasis

(pathology) The suppression of the flow of bile caused by an obstruction associated with the liver.

The diagnosis approach for identifying the cause of cholestasis